症例集CASES
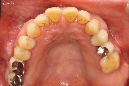
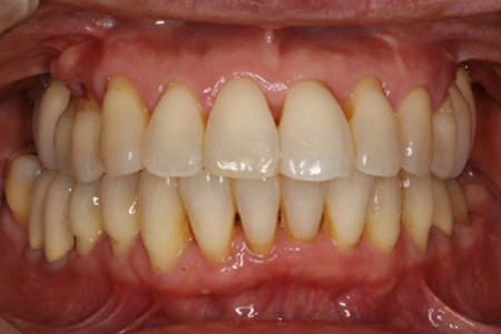
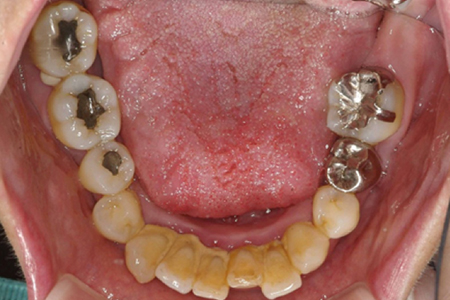
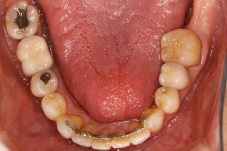
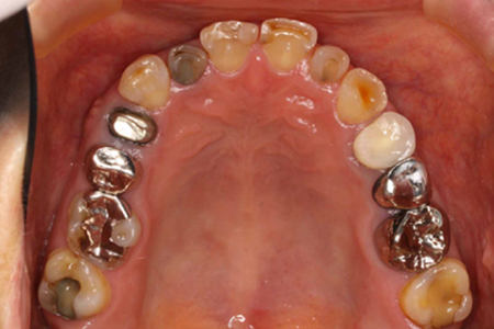
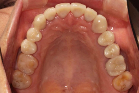
ケース 1
| 患者さま情報 | 75歳 女性 | 治療期間 | 3年1ヵ月 (平成17年9月~平成20年10月) |
|---|---|---|---|
| 費用 | 計 470万円 | ||
|
<内訳>
|
|||
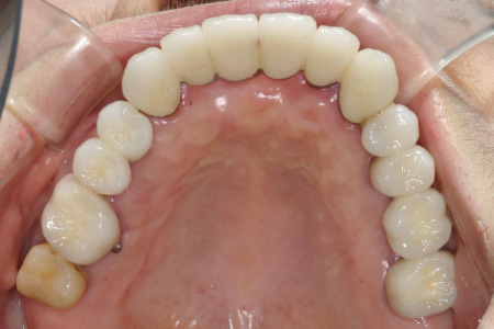
| 治療詳細 |
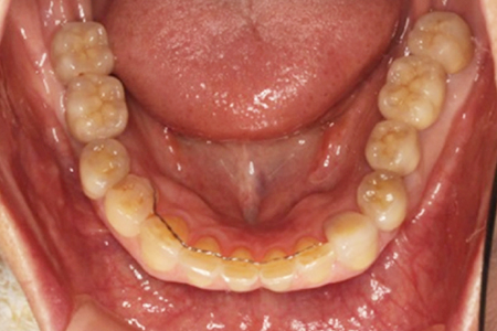
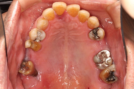
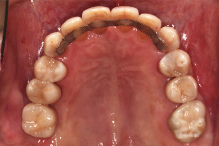
入れ歯を入れていましたが、入れ歯の留め金をつけている歯が揺れてきて、食事がしづらいとのことで、当院を来院しました。欠損している部分にインプラントを8本埋入し、天然歯とインプラントのすべての歯に被せ物を装着しました。 |
||
ケース 2
| 患者さま情報 | 58歳 女性 | 治療期間 | 1年3ヵ月 |
|---|---|---|---|
| 費用 | 計 243万円 | ||
|
<内訳>
|
|||
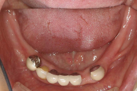
| 治療詳細 |
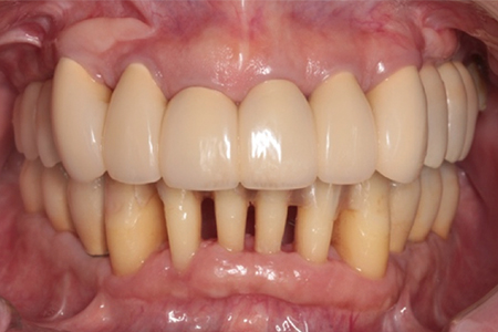
インプラントでブリッジを固定。 4本のインプラントを埋入し、6本分の上部構造をブリッジにしました。 歯槽骨の吸収が進んでいたため、水平的にも垂直的にも骨を作り、理想的な位置にインプラントを埋入しました。術前、術後を比べるとアーチの幅が広がっていることが分かると思います。 一次手術の後、6ヵ月後に二次手術を行ない、さらに2ヵ月後には補綴と噛み合わせ調整まで完了しました。 |
||
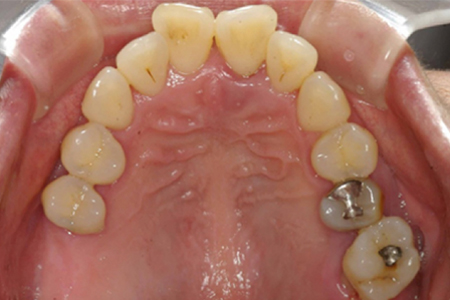
ケース 3
| 患者さま情報 | 59歳 男性 | 治療期間 | 2年5ヵ月 |
|---|---|---|---|
| 費用 | 計 170万円 | ||
|
<内訳>
|
|||
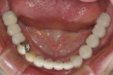
| 治療詳細 |
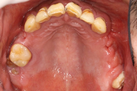
上顎右側6・7番と左側7番を他院で抜歯され、他の歯も歯周病で将来、抜歯になる歯があるとのことで来院しました。歯周病治療の後に上顎右側6・7番と左側5番にインプラントの埋入を行ないました。歯槽骨が足りない部分はGBRとサイナスリフトで補いました。 |
||
ケース 4
| 患者さま情報 | 55歳 女性 | 治療期間 | 3年7ヵ月(平成17年11月~平成21年3月) |
|---|---|---|---|
| 費用 | 計 78万円 | ||
|
<内訳>
|
|||
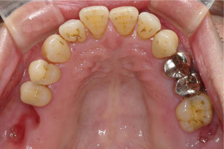
| 治療詳細 |
上顎の欠損部にインプラントの埋入を行い全体的に噛めるように回復したケースです。 骨が吸収されているので、骨を作り、その上でインプラントを埋入しています。 骨がない部分に無理にインプラントを埋入すると被せ物の形が悪くなるだけでなく、その後の歯磨きもしづらくなり、インプラント周囲炎(インプラントを支える骨や歯肉が炎症を起こす病気)を引き起こすリスクが高くなるため、失った骨を元の状態に戻してからインプラントを埋入することでそのリスクを低減させています。 また、部分矯正を行い歯の位置を整えてから被せものをすることで、機能も見た目も自然な状態に回復しています。 |
||
ケース 5
| 患者さま情報 | 60歳 女性 | 治療期間 | 3年7ヵ月(平成17年11月~平成21年3月) |
|---|---|---|---|
| 費用 | 計 220万円 | ||
|
<内訳>
|
|||
| 治療詳細 |
下顎の欠損部にインプラントの埋入を行い全体的に噛めるように回復したケースです。 骨が吸収されているので、骨を作り、その上でインプラントを埋入しています。 骨がない部分に無理にインプラントを埋入すると被せ物の形が悪くなるだけでなく、その後の歯磨きもしづらくなり、インプラント周囲炎(インプラントを支える骨や歯肉が炎症を起こす病気)を引き起こすリスクが高くなるため、失った骨を元の状態に戻してからインプラントを埋入することでそのリスクを低減させています。 また、部分矯正を行い歯の位置を整えてから被せものをすることで、機能も見た目も自然な状態に回復しています。 |
||
ケース 6
| 患者さま情報 | 44歳 男性 | 治療期間 | 2年6ヵ月(平成25年8月~平成28年2月) |
|---|---|---|---|
| 費用 | 計 484万円 | ||
|
<内訳>
|
|||
| 治療詳細 |
歯が揺れて硬いものが噛めない事と、前歯の色が気になり来院された患者さまです。 残念ながら奥歯は抜歯に至りましたが、10本のインプラントを埋入し、12本分の上部構造をブリッジにしました。 歯槽骨の吸収が進んでいたため、水平的にも垂直的にも骨を作り、理想的な位置にインプラントを埋入しました。 一次手術の後、6ヵ月後に二次手術を行ない、さらに2ヵ月後には被せ物と噛み合わせの診査診断を行い調整しました。 硬いものも噛めるようになっただけではなく虫歯によって黒く変色してしまった前歯も虫歯を除去した後、被せ物によって見た目も改善されました。 |
||
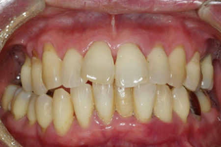
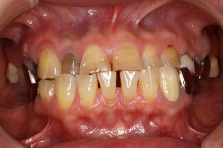
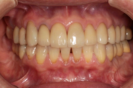
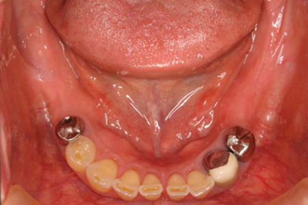
ケース 7
| 患者さま情報 | 59歳 男性 | 治療期間 | 4年(平成26年1月~平成30年1月) |
|---|---|---|---|
| 費用 | 計 228万円 | ||
|
<内訳>
|
|||
| 治療詳細 |
下の前歯が揺れて物が噛めなくなって来院された患者様です。 残念ながら一部の奥歯は周囲に全く骨がない為抜歯に至りましたが、上顎右側6番、左側5番、下顎左側6番の計3本のインプラントを埋入しました。 歯周病により骨の吸収が進んでいたため、水平的にも垂直的にも骨を作り、理想的な位置にインプラントを埋入する為に矯正治療も行いました。 一次手術の後、6ヵ月後に二次手術を行ない、さらに2ヵ月後には被せ物と噛み合わせの診査診断を行い調整しました。 硬いものも噛めるようになっただけではなく歯並びも改善されて、審美的、機能的にも改善されました。 |
||
インプラント治療におけるリスクや副作用の詳細説明
下記はインプラント治療に共通する注意事項となります。
インプラント埋入を含む外科手術に対して
近年の医療技術の向上により低侵襲の処置が可能になったものの、インプラントを埋入する際は、歯肉の切開や顎の骨に穴を開けるといった外科手術を行なうため、以下のような症状が出る場合があります。
- 神経の圧迫や損傷による麻痺
- 血管損傷による多量出血
- 術後の腫れと内出血によるあざ
- CT撮影で精密な診査を行ない、神経等の位置を正確に把握することによって、神経麻痺や多量出血のリスクを回避します。
- 静脈内鎮静法時や術後の薬剤の投与によって、術後の腫れや内出血によるあざを最低限に抑えることができます。
- 腫れや内出血や痛みは、術後数日間ほどでひいていきます。当院では鎮痛剤の処方や術後の経過観察を行ない、患者さまが帰宅可能であることを確認できるまでケアを行なっています。
骨の問題
患者さまの顎の骨の状態によって、インプラント治療の予後に個人差が出る場合があります。
インプラントを埋入する顎の骨の質が軟らかすぎる場合、埋入後の安定が悪く、少し力をかけただけで、抜け落ちる場合があります。
逆に、非常に硬い骨は、埋入後の安定性は良いが、インプラント周囲の血の巡りが悪くなることから、抜け落ちる場合があります。
(骨の量に関しては、レントゲン撮影後のCT検査等により確認できますが、「質」に関しては実際に埋入する際に初めて、きちんと把握できることが多いのです。)
適切な歯磨きなどのメンテナンスをしなかった場合の問題
インプラント自体は人工物なので、虫歯などに感染することはありませんが、天然歯と同じく、顎の骨が溶けてしまうインプラント周囲炎や歯周病を患うことがあります。
歯周病により顎の骨が溶けてしまうと、当然のことながらインプラントは抜けてしまいます。
インプラントを埋入して間もないころに、間違ったブラッシングやケアが原因で細菌に感染することがあります。噛めるようになってからも、ブラッシングが行き届かずにインプラント周囲に細菌が溜まることがあります。これらが原因となり、天然の歯の歯周病のように、インプラント周囲炎に感染してインプラントが抜け落ちる場合があります。
ご自身の歯を歯周病で失われた方は、特にインプラント周囲炎になりやすいため注意が必要です。歯を失う以前と同じ程度のブラッシングでは、再び感染する危険があります。
当院では、インプラント治療に際して、口腔ケアやブラッシングのご指導をさせていただき、治療後の定期メンテナンスでは歯周組織のチェックを行なっています。
インプラントの噛み合わせが悪い場合に起こる問題
埋入したインプラントに人工の歯をつける際、噛み合わせを調整しますが、噛み合わせは常に一定なものではないので、天然歯と同様に定期的なチェックと歯科医師による調整が必要になってきます。
患者さまの日常生活による問題
タバコ、アルコール、糖尿病は、歯周組織の回復を遅らせ、インプラントの成功率を低下させます。
そのためヘビースモーカーでアルコール依存の傾向の方は、インプラント治療に失敗する確率が高くなります。
当院ではインプラント治療に際して、禁煙・減酒をおすすめしています。
- 掲載されている症例はすべて、当院で治療を完了し、サイト掲載の許可をいただいた患者さまのものです。
- 症例写真はトリミング(切り抜き)などを除き、画像の加工等は行なっていません。
- 治療はすべて各患者さま固有の症例に対応したものであり、他の方への治療結果を保証するものではありません。



































